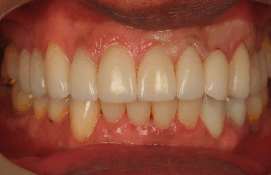
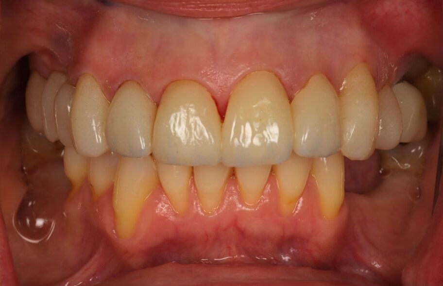
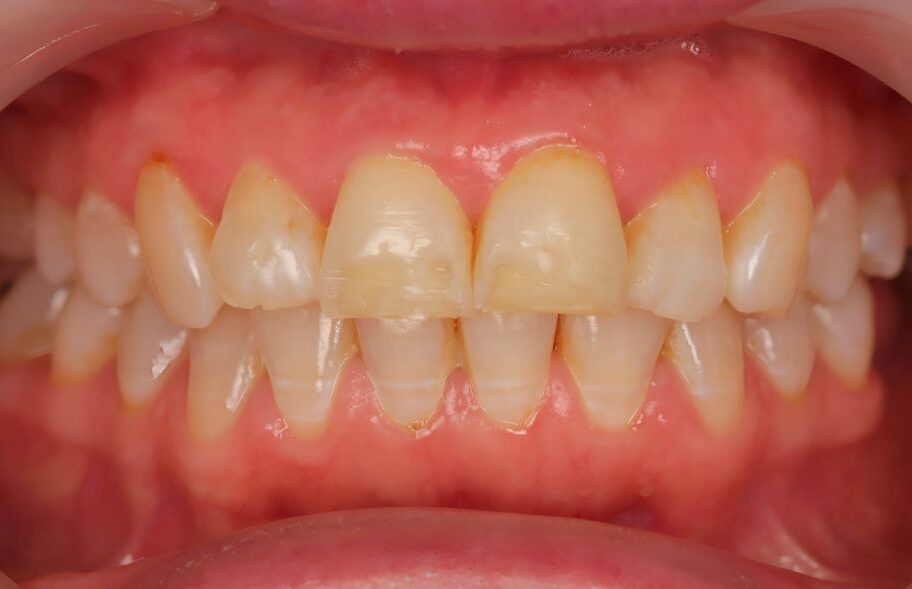
Veneers are a premium smile-enhancing treatment.

Even just a single veneer can change the whole aesthetic of your smile. We can also offer full smile makeovers with either composite or ceramic veneers.
Why choose veneers to improve and enhance your smile?
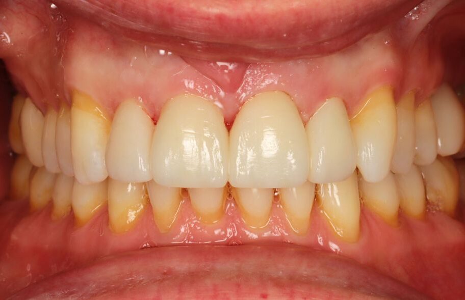
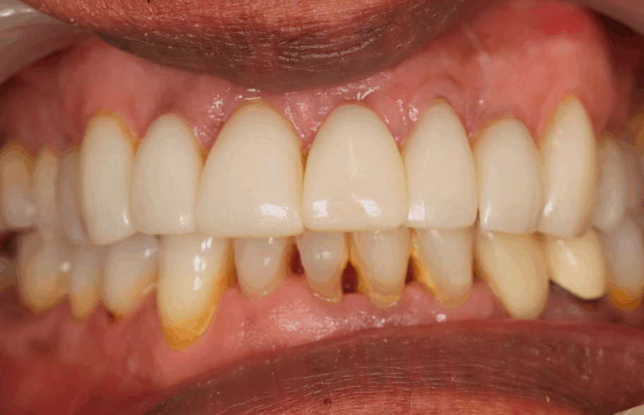
They look and feel natural
Our dentists prioritise delivering a seamless, natural result and ensuring you feel comfortable with your new veneers. Once they have been bonded to your teeth, your bite will feel fully organic, and the cosmetic result will be transformative yet subtle.
Increase your confidence levels
It’s completely normal for your confidence to take a hit if you really don’t like your teeth. The aim of veneers is to get you to fall back in love with your smile so you can nurture your confidence and self-esteem.
Easy maintenance
Veneers can be cared for in exactly the same way as any other tooth. Whilst they are particularly stain-resistant, it’s still a good idea to limit the amount of teeth-staining food and drink you consume, especially if you want your veneers to stay beautifully white.
One step further than teeth whitening
If you’re looking for a Hollywood shade of white for your teeth, veneers are the only way to achieve this. If whitening is the main goal of your treatment, we can talk you through veneers vs. teeth whitening during your consultation. A popular treatment combination is veneers and teeth whitening, which can simultaneously address structural abnormalities with your teeth and discolouration.
Your veneers journey
Step 1: Veneers consultation
You will need to attend a consultation prior to starting the treatment process. We will check your teeth and gums to ensure they are healthy enough to proceed with an elective treatment like veneers. Patients must have decay and disease-free teeth before proceeding with cosmetic dental treatment.
Step 2: Impression-taking and treatment planning
Using state-of-the-art digital technology, we can plan how your smile will look once the veneer has been placed onto your teeth. This ‘try before you buy’ option gives you the chance to decide if you’re happy to proceed with treatment. Once you have greenlit the proposed treatment plan, we can go ahead with taking digital impressions of your teeth. These will be the basis for the design of your veneers.
Step 3: Making your veneers
Your veneers are made by the dental technician to the specifications provided by your dentist.
Step 4: Fitting your veneers
A small amount of enamel will need to be removed from each tooth receiving the veneer. This is carried out under local anaesthetic and allows the veneers to be placed over the tooth without being too thick compared to your existing natural teeth. The veneers are placed firmly over the top of each tooth with a strong dental cement.
FAQs
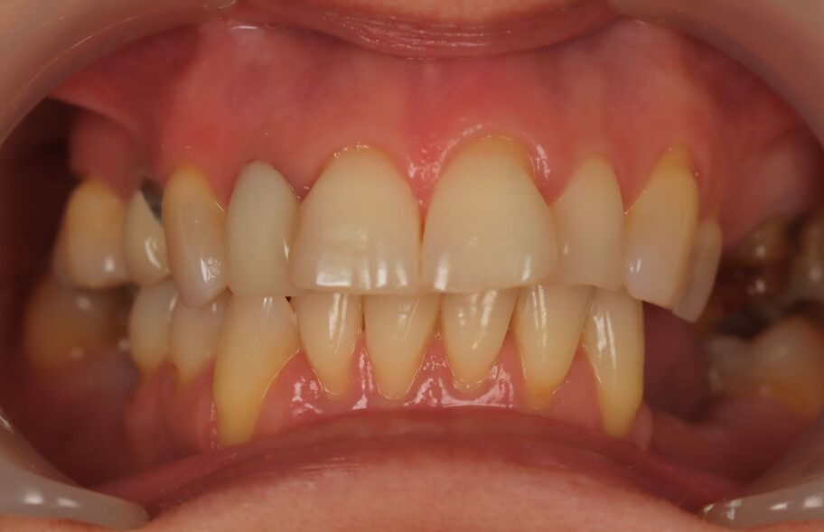
Can I have my whole smile transformed with veneers?
We can replace the top and bottom-most visible teeth when you smile with either composite or porcelain veneers. This mode of smile makeover has become extremely popular in recent years, giving patients a semi-conservative restoration option that improves their smile as a whole.
Why choose Dent Blanche Implant & Dental Centre for cosmetic dental treatment?
Dent Blanche Implant & Dental Centre is a long-established dental practice in Radcliffe-on-Trent with an excellent reputation for patient care.
Our vision is to create a dental practice that reflects quality, has a caring attitude towards our patients, and a team that strives every day to do our utmost for patients.
We have many years of combined knowledge in using different materials and systems to revitalise your smile in a natural-looking way. Your dentist will carefully study your mouth, bite, and facial proportions to ensure your veneers are individually shaped to look as natural as real teeth.
How much are veneers at Dent Blanche Implant & Dental Centre?
Please view our fee page for the cost of veneers in Nottingham.
Back to Cosmetic Dentistry