Follow us on

facebook facebook

At Dent Blanche Implant & Dental Centre, we can offer the world-class Invisalign® system for patients who want to straighten their teeth discreetly and comfortably.

Invisalign® is the leading brand in removable clear aligners. The process involves having custom-made aligners created from recyclable BPA-free plastic. These are changed every 2 weeks at home and worn for 22 hours daily during your treatment. Treatment is a sequential process, with the next aligner taking over from the last, guiding your teeth one step closer to the optimal pre-planned position.

Invisalign Braces in Radcliffe on Trent

Invisalign®

  • Clear, virtually invisible
  • Smooth and comfortable
  • Removable & easy to clean
  • Eat anything you want
Traditional metal wired braces

Traditional Braces

  • Wires and brackets
  • Can decorate with colours
  • Colours can be changed at every visit
  • Non removable
VS

Why choose Invisalign®?

Confident smiles
Invisalign® gives you a straighter set of teeth that you can feel confident about showing off in public.

Invisible teeth straightening
A transparent aligner system that others will not notice you’re wearing.

Acclimatises to your lifestyle
Invisalign® aligners are removable, allowing you to eat and brush as you normally would.

Healthier teeth
Teeth straightening treatment leaves you without gaps in your smile. Brushing and flossing will become much easier once your teeth are where they should be in your mouth.

State-of-the-art system
Invisalign® incorporates projection software that can generate how your smile will look before you even begin your treatment.

Comfort first
A completely bracketed and wireless system. Invisalign® has been designed with patient comfort in mind.

0% finance
Spread the cost of your Invisalign® treatment to ensure it makes financial sense for you.

Your Invisalign® journey

Step 1: Consultation
Every Invisalign® journey atDent Blanche – Implant and Dental Centre starts with a consultation. This important step allows us to understand how your smile has affected your lifestyle and whether Invisalign® is the most viable teeth straightening method for your case.

If this is the case, we will take digital scans with our iTero machine, which streamlines the planning process for our patients. We will also take X-rays and photographs to assess the condition of your jaw and oral soft tissues.

Step 2: Aligner fabrication
The digital scans and photographs are sent away to Invisalign®, where your aligners are made. These are sent back to the dental practice, ready for you to start wearing.

Step 3: Aligner wearing
You will need to wear the aligners for between 6 – 12 months (depending on the issue being treated). We will request that you come in for check-ups every 8 weeks.

Step 4: Retainer
Once your dentist is satisfied that your teeth have reached their final position, you will need to wear a retainer to prevent your teeth from relapsing back into their original position.

in person consultation

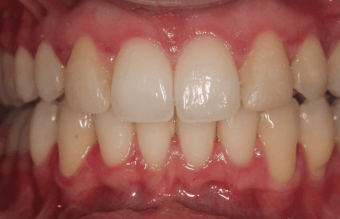
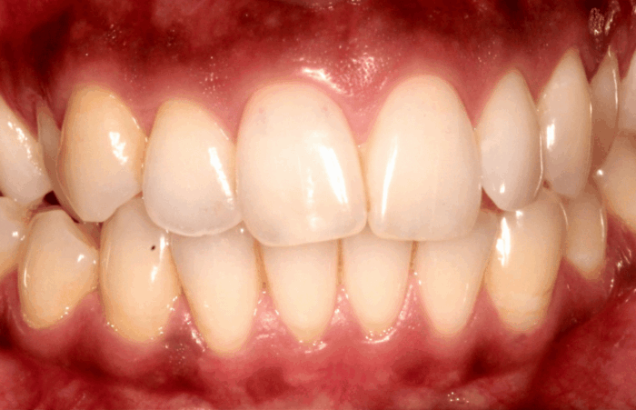
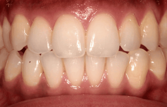
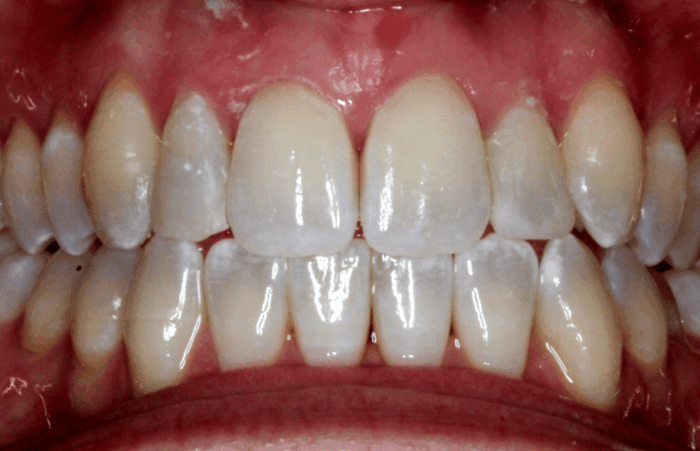
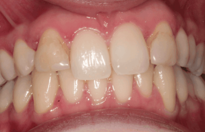
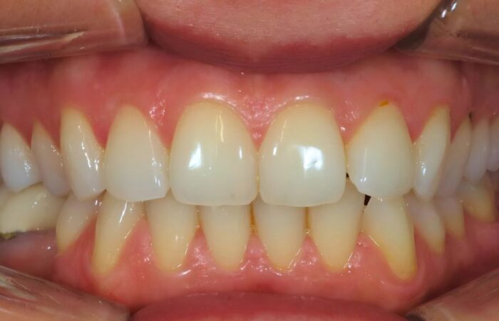
Smile Gallery

Before - dentblanche After - dentblanche

Before

After

Dent Blanche Implant & Dental Centre

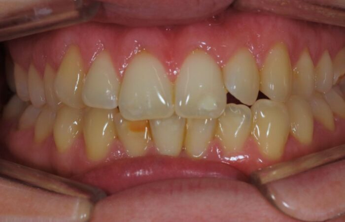
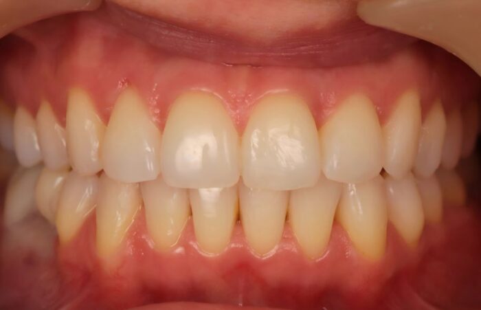
Before - dentblanche After - dentblanche

Before

After

Dent Blanche Implant & Dental Centre

Before - dentblanche After - dentblanche

Before

After

Dent Blanche Implant & Dental Centre

Before - dentblanche After - dentblanche

Before

After

Dent Blanche Implant & Dental Centre

Before - dentblanche After - dentblanche

Before

After

Dent Blanche Implant & Dental Centre

Smile Gallery

Before - dentblanche After - dentblanche

Before

After

Dent Blanche Implant & Dental Centre

Before - dentblanche After - dentblanche

Before

After

Dent Blanche Implant & Dental Centre

Before - dentblanche After - dentblanche

Before

After

Dent Blanche Implant & Dental Centre

Before - dentblanche After - dentblanche

Before

After

Dent Blanche Implant & Dental Centre

Before - dentblanche After - dentblanche

Before

After

Dent Blanche Implant & Dental Centre

Comparison with Invisalign® vs other treatments

Other clear aligners

Traditional braces

Made from SmartTrack material

check

In-person consultations with real dentists

check

Easily removable for eating, drinking & flossing*

check
check

No emergency visits for broken wires

check
check

Virtually invisible

check
check

Made from traditional brackets and wires

check

Each aligner is trimmed to your gum line for optimal comfort and appearance**

check

Blue compliance indicator dots to help you stay on track

check

Covered by many orthodontic insurance plans

check
check
check

Made from SmartTrack material

check

Easily removable for eating, drinking & flossing*

check

No emergency visits for broken wires

check

Virtually invisible

check

Each aligner is trimmed to your gum line for optimal comfort and appearance**

check

Blue compliance indicator dots to help you stay on track

check

Covered by many orthodontic insurance plans

check

In-person consultations with real dentists

check

Easily removable for eating, drinking & flossing*

check

No emergency visits for broken wires

check

Virtually invisible

check

Covered by many orthodontic insurance plans

check

Made from traditional brackets and wires

check

Covered by many orthodontic insurance plans

check
in person consultation

Dent Blanche Implant & Dental Centre Gold Invisalign® Provider

Gold+ Invisalign Provider

Why you should choose us for your Invisalign® treatment

World-class customer service

World-class customer service

Free Invisalign consultation

Free initial consultation

Free Teeth whitening worth £500

Teeth whitening worth £500, included for free

Free removable retainers worth £500

£500 worth of removable retainers, included for free

Straight teeth in as little as three months

Beautiful teeth in as little as three months, using safe cosmetic braces

Interest free Invisalign

Why wait? Interest free finance available

in person consultation

What can Invisalign® fix?

Crowded teeth treatment

Crowded teeth

Crowded teeth is a condition where you do not have enough room for your teeth to fit normally. This can cause plaque or tartar and other harmful bacteria to build up as it is harder for you to brush and floss well.

Gaps between teeth

Gaps between teeth

Gaps between teeth is when there is extra space between two or more of your teeth. This can cause pockets between your teeth and gums and can cause food to get stuck making them tender and sore. This might also lead to gum disease.

Open bite treatment

Open bite

An open bite is when your upper and lower teeth don't touch when you close your mouth. An open bite can make it hard for you to chew or difficult to bite even the most common of food like apples.

Underbite treatment

Underbite

An underbite is when you close your mouth and your lower front teeth are in front of your upper teeth. In many cases, this is actually a problem with your lower jaw being too far forward. An underbite can make it hard to chew properly and speak clearly, and it might cause your teeth to wear down more quickly.

Overbite treatment

Overbite

An overbite is when your upper front teeth overlap with your lower front teeth. Most people have at least a little overbite. When your overbite is too large, your doctor might tell you you have a deep bite. This can cause problems, from your teeth wearing down to pain in your jaw.

Crossbite treatment

Crossbite

A crossbite is when you close your mouth and yet some of your upper teeth are sitting inside your lower teeth rather than on the outside. A crossbite can make your teeth wear down or chip. It can also make your gums start to recede or make little notches above your gum line. This kind of damage can lead to painful gum problems or even bone loss.

in person consultation

Cost of Invisalign® Clear Braces

Affordable Invisalign treatment

Many people worry about the cost of Invisalign braces, and so we have devised a number of payment plans to help you afford the right treatment with Invisalign.

Learn More

Invisalign® Comprehensive

from £ 3500
Book Now

Virtual 3D scan

We can create a 3D image of your teeth in just minutes using a TRIOS scanner, a leading digital scanner from the makers of Invisalign® clear aligners.

3D Scanner
3D Scanner

FAQs

1. Why is Invisalign® better than braces?

Invisalign® is geared towards the modern adult. It does not pose as many restrictions on patients in the same way that traditional metal braces can.

You won’t have to limit your diet in an effort to make sure things don’t get stuck in your brace, nor will you have to weave around any wires and brackets when you brush.

What’s more, fewer appointments with your dentist are needed during the treatment period.

2. Am I suitable for Invisalign®?

There is no upper age limit to treatment. However, you must have healthy teeth and gums prior to beginning Invisalign®.

3. How will Invisalign® change my smile?

Invisalign® eliminates tooth positioning that is preventing your smile from being symmetrical and evenly spaced. After treatment, your smile will look proportioned and even rather than protruding or overlapping.

Research has shown that straight teeth are perceived as more attractive and that patients feel significantly more confident in their personal and professional lives post-treatment. For this reason, Invisalign® truly is a gift that keeps giving for years to come.

4. Why choose Dent Blanche - Implant and Dental Centre for Invisalign® treatment?

At Dent Blanche Implant & Dental Centre is home to Invisalign® Gold providers, which means you will benefit and have the reassurance of a professional Invisalign® provider undertaking your treatment.

5. How much is Invisalign® at Dent Blanche - Implant and Dental Centre?

Please view our fee page for the cost of Invisalign® in Radcliffe-on-Trent, Nottingham.

in person consultation

Exceptional Dentistry

An Independent Dental Clinic Serving Patients in the East Midlands.

Proudly serving private and Denplan patients throughout Radcliffe-on-Trent, Nottingham.

General Dentistry

Going above and beyond to ensure complete satisfaction.

LEARN MORE

Cosmetic Dentistry

Achieve the smile you desire with our professional cosmetic care.

LEARN MORE

Teeth Straightening

We offer discreet and effective teeth straightening treatments.

LEARN MORE

Dental Implants

We help you select the best dental implant treatment for you.

LEARN MORE

Facial Aesthetics

Affordable aesthetic procedures to rejuvenate your appearance.

LEARN MORE

General Dentistry

Going above and beyond to ensure complete satisfaction.

LEARN MORE

Cosmetic Dentistry

Achieve the smile you desire with our professional cosmetic care.

LEARN MORE

Teeth Straightening

We offer discreet and effective teeth straightening treatments.

LEARN MORE

Dental Implants

We help you select the best dental implant treatment for you.

LEARN MORE

Facial Aesthetics

Affordable aesthetic procedures to rejuvenate your appearance.

LEARN MORE
dentistry texture grey square shape1

CONTACT

GET IN TOUCH

star

“I took my mother for a new set of dentures, and from the initial enquiry phone call and throughout the...”

A. Gill

READ MORE
star

“This is the single best dentist I have ever been to. I've been to professional dentists in the USA who...”

L

READ MORE
star

“It was a truly gratifying experience to be treated with such professionalism, expertise, courtesy, and kindness by a dentist. Cannot...”

G. M

READ MORE
star

“I rang up this morning as I had tooth pain and was not yet registered at a dentist. The receptionist...”

C. Pink

READ MORE
star

“I have always been scared of dentists as a kid, but not here.”

A. Gaba

READ MORE
star

“I took my mother for a new set of dentures, and from the initial enquiry phone call and throughout the...”

A. Gill

READ MORE
star

“This is the single best dentist I have ever been to. I've been to professional dentists in the USA who...”

L

READ MORE
star

“It was a truly gratifying experience to be treated with such professionalism, expertise, courtesy, and kindness by a dentist. Cannot...”

G. M

READ MORE
star

“I rang up this morning as I had tooth pain and was not yet registered at a dentist. The receptionist...”

C. Pink

READ MORE
star

“I have always been scared of dentists as a kid, but not here.”

A. Gaba

READ MORE
Google Rating
5.0
Google Rating
g-icon